Bridges: Fixing an Implant Supported Bridge
Description
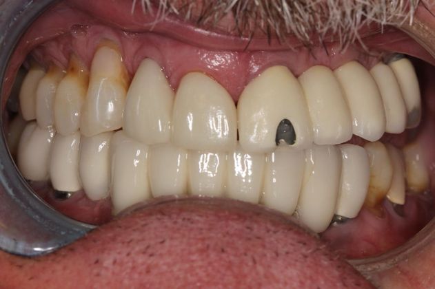
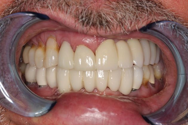
An implant bridge is a excellent option to replace multiple missing teeth, but the must be planned properly between the surgeon, restorative dentist, and the lab. Communication is key. This patient came to Ward Road Dental dissatisfied with the implant work done in another office. He didn't like the access channel on his front tooth and felt that he couldn't eat. We were able to fabricate a new bridge with an additional tooth to meet his esthetic and functional desires. (Professional Dental Arts in Lafayette, CO made this bridge)





