Refine Your Smile with Dental Bonding in One Appointment
If chips, cracks, or gaps are getting in the way of your ideal smile, cosmetic dentistry treatments are designed to help you.
At Ward Road Dental in Arvada, CO, we prefer using minimally invasive treatment options whenever possible. So we find that dental bonding can be a great treatment option for many patients who have minor cosmetic imperfections that need to be addressed as quickly as possible. Using composite resin, board-certified general dentist Christopher J. Gillette can craft beautiful results that require minimal modification to your teeth and look just like natural teeth.
Are You a Good Candidate for Bonding?
Dental bonding is a cost-effective cosmetic treatment that can address various cosmetic concerns in a single treatment. It is usually recommended to treat:
- Discoloration: Although teeth whitening can quickly and effectively remove surface stains, bonding can conceal stains that reside on deeper layers of your teeth.
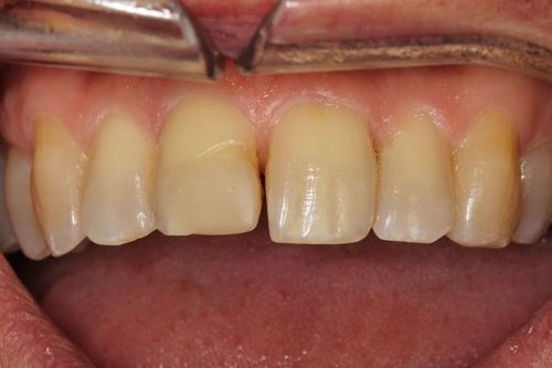
- Chips: Minor trauma to your smile or gradual wear and tear can leave chips or cracks on your teeth, disrupting the evenness of your smile.
- Minor gaps: If you have a small gap or an undersized tooth that makes a gap look bigger, Dr. Gillette can add composite resin to a neighboring tooth to close the space.
If you have been thinking about getting porcelain veneers but are not ready to commit to a permanent treatment, dental bonding is also a great way to preview how the results will look.
The Bonding Process
Dental bonding can typically be completed in a single appointment.
First, Dr. Gillette will sit down with you and review your oral health to make sure that you are free of decay or gum disease. He will then discuss your goals with you to ensure that dental bonding is the best option for you.
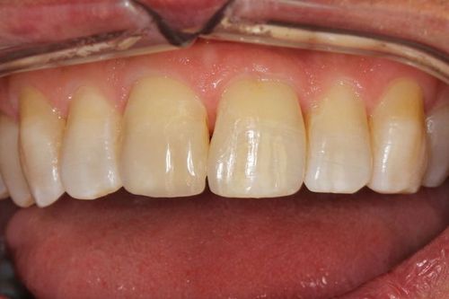
If you are happy with the proposed treatment plan, Dr. Gillette will pick a shade of composite resin that closely matches the color of your surrounding teeth. He will then lightly etch your teeth to create an ideal surface for bonding. Once your teeth are prepared, he will apply the composite resin to your affected teeth and carefully mold the material until he achieves the desired results.
Dr. Gillette combines science and artistry to craft lifelike results in just one appointment.
To complete the process, Dr. Gillette will harden the material with a curing light and polish the surface so that it matches the texture and feel of your surrounding teeth.
Understanding The Benefits
This treatment offers various benefits, including:
- Fast treatment: Your treatment can usually be completed in one office visit.
- Cost-effectiveness: In most cases, dental bonding is less expensive than traditional custom veneers.
- Minimal invasiveness: While traditional porcelain veneers require a small amount of enamel to be removed from your teeth, dental bonding can usually be placed with few to no modifications.
- Improved confidence: If you previously covered your smile due to cosmetic flaws, dental bonding is a great way to boost your self-esteem.
However, it is important to note that although composite resin can be crafted to look extremely lifelike, it does not have the same strength and quality of porcelain. Consequently, bonding is better suited to the front-most teeth which are not placed under the same pressure as your morals.
Start Pursuing a Nicer Smile Today
Dr. Gillette combines science and artistry to craft lifelike results in just one appointment. We encourage you to visit Ward Road Dental for a consultation to see whether dental bonding or one of our other cosmetic treatments is right for you. Call us at (303) 420-4001 or request an appointment online today.



